서언
재료 및 방법
식물 재료 및 시료의 추출, 분획
박층크로마토그래피와 발색법을 이용한 알칼로이드 성분군의 동정
DPPH assay를 이용한 항산화 활성 분석
Acetylcholinesterase 저해 활성 측정
결과 및 고찰
박층크로마토그래피와 발색법을 이용한 알칼로이드 성분군의 동정결과
DPPH assay를 이용한 항산화 활성
Acetylcholinesterase 저해 활성 측정
적요
서언
오늘날 빠른 경제 성장과, 향상되는 생활수준에 따라 건강에 대한 관심이 높아지고 있고(Albertazzi et al., 2002), 이에 따라 노화, 암, 당뇨 등 각종 질병 예방을 위한 관심이 고조되고 있다(Fang et al., 2002). 특히 항노화와 항산화에 대한 연구가 활발하게 진행되어 합성 항산화제인 butylated hydroxytoluene (BHT), butylated hydroxyanisole (BHA), tertiary butyl hydroquinone (TBHQ) 등이 주목 받았으나 급성 독성과 발암성을 보인다는 것이 알려져, 부작용과 위험성이 적은 천연물인 약용식물을 이용한 항노화와 항산화 연구가 활발하게 진행되고 있다(Branen, 1975; Choe et al., 1982; Kim and Kang, 2017). 노화로 인해 발생하는 노인성 신경 질환으로 Alzheimer’s disease는 치료제는 개발이 진행 중이며, 그 연구의 진전이 매우 느리므로 천연물을 이용하여 병의 진행을 느리게 하거나 예방하는 방향으로 다양한 연구가 진행되고 있다(Geldmacher, 2007; Spencer et al., 2007; Seow and Gauthier, 2007; Musial et al., 2007). 뇌신경 전달물질인 acetylcholine (ACh)은 acetylcholinesterase (AChE)에 의해 acetate와 choline으로 분해되어 신경전달을 중단시키는 데 관여하는 효소로서, Alzheimer’s 환자들의 AChE 활성을 억제함으로써 신경전달의 중단 시기를 지연시켜 가능하면 오랜 기간 동안 인지기능의 저하를 억제 시켜주는 기능성을 가진 천연물 자원 및 성분을 발견하고자 하는 연구가 진행되고 있다(Abbott et al., 2006). 황칠나무(Dendropanax morbiferus)는 우리나라에 자생하는 나무로 두릅나무과 상록 활엽수림으로 학명 Dendro (그리스어원 ‘나무’), Panax (그리스어원 ‘만병통치약’), morbi (라틴어원 ‘병’), ferus (라틴어원 ‘옮기는’)으로부터 알 수 있듯이 예부터 약용식물로 사용해오던 식물이며, 최근 인간 질병 치료와 예방에 유용한 성분의 다양한 기능성 연구결과가 보고되고 있다(Nakamura et al., 2016). 황칠나무에서 분리한 bioflavonoid 성분인 rutin이 심혈관질환에 대한 항혈전제제로서 효능이 있다는 연구결과가 있으며(Choi et al., 2015), 황칠나무 잎 ethyl acetate 분획물이 tyrosinase 저해활성과 melanin 생성 억제 활성을 높게 한다는 연구결과가 있다(Mo and Oh, 2013). 또 황칠나무 잎 추출물의 항산화 효과 및 고혈당으로 인한 뇌신경 보호 효과가 있다는 연구결과가 있다(Kim et al., 2016). 그러나 지금까지의 연구결과가 황칠나무 잎과 줄기로부터 단일용매 추출물에 한정되어있어 황칠나무를 활성 성분 동정을 위한 기초연구자료가 미흡하였다. 따라서 본 연구에서는 황칠나무의 잎과 줄기를 각각 추출하여 dichloromethane, ethyl acetate, butanol로 계통 분획하여 생리 활성을 비교하고 acetylcholinesterase (AChE)의 억제효과를 보이는 활성 성분군을 추적하였다. 각 분획물은 DPPH를 이용한 라디컬 소거능을 측정과 더불어, 신경 질환으로 Alzheimer’s disease 와 관련된 Acetyl cholinesterase inhibition assay를 실시하여 항산화 효과와 신경관련 질환 예방에 유용한 활성성분의 동정과 더불어 신경질 관련의 새로운 약용자원식물로서의 효용성을 높이고자 하였다.
재료 및 방법
식물 재료 및 시료의 추출, 분획
전라남도 장흥의 농가에서 재배된 황칠나무를 구입하여 실험에 이용하였다. 황칠나무의 줄기와 잎을 추출한 용매 methanol과 계통 분획에 사용한 용매 dichloromethane, ethyl acetate, butanol는 SK chemicals를 이용하였다. 황칠나무를 60℃에서 12시간 이상 건조하여 시료로 이용하였다. 건조된 황칠나무를 줄기와 잎으로 분리한 다음, 건조된 잎과 줄기 각각 200 g을 99% methanol 1 L에 48시간 이상 추출하였으며, 이를 총 3회 반복하여 추출하였다. 이 추출액을 35~40℃에서 농축하였다. methanol 추출물을 dichloromethane, ethyl acetate, butanol 3가지 용매를 이용하여 계통 분획하였다. 먼저 분별 깔때기에 극성이 낮은 용매인 dichloromethane 1 L를 넣고, 증류수 1 L을 첨가한 다음 methanol 추출물을 넣고 24시간 이상 교반하여 분획하였다. 이 과정을 3번 반복 추출하였다. 같은 방법으로 ethyl acetate, butanol 순으로 계통 분획 하였다. 용매별 분획물을 회전 감압 농축하여 건조시킨 후, 냉동 보관하면서 실험의 시료로 사용하였다(Fig. 1). 본 연구에 사용한 황칠나무는은 두릅나무과에 속하는 Dendropanax morbiferus로서, 실험에 시용한 시료의 확증표본(DAU-DP-2014-1)은 동아대학교 의약생명공학과에 보관하고 있다.
박층크로마토그래피와 발색법을 이용한 알칼로이드 성분군의 동정
Thin layer chromatography (TLC)는 고정상을 균일한 박층으로 만들어 사용하는 방법인데 사용한 TLC판은 silica gel 60F254 (layer thickness 0.2 ㎜, Merck)순상 chromatography를 이용했다. 실험에 사용된 발색 시약은 Dragendroff 시약으로 알칼로이드 성분의 검출 시에 황색에서 주홍색 범위의 색깔 농도 발색되어 알칼로이드의 존재 유무를 확인할 수 있다. 유기용매 추출물 1 ㎎을 TLC판에 점적한 후에 chloroform/methanol (10:1)의 전개용매로 분석하였다. Dragendroff 시약은 bismuth subnitrate 0.2 g을 acetic acid 2.5 ㎖에 넣은 후 증류수를 부어 10 ㎖를 맞추고, potassium iodide 4 g을 증류수 넣어 10 ㎖ 맞춘 후, 두 개를 섞고 acetic acid 20 ㎖를 추가한 후 증류수를 부어 100 ㎖ 맞추어 사용하였다. 여기서 사용한 bismuth subnitrate, potassium iodide는 Sigma (St. Louis, MO, USA)에서 구입하였다.
DPPH assay를 이용한 항산화 활성 분석
DPPH (1.1-diphenyl-2-picryl-hydrazyl) assay는 일부 변형된 방법에 의해 실험하였다(Gadow et al., 1997; Lee and Lee, 2004). 실험에 이용된 DPPH은 Sigma (St. Louis, MO, USA)에서 구입하였으며, methanol (SK chemicals, CAS 67-56-1)은 실험실 또는 산업용으로 가능한 99% 용매를 사용하였다. 활성 평가를 위한 흡광도는 UV/Vis-spectrometer는 Biochrom사의 제품으로 100 ㎚에서 600 ㎚까지 측정이 가능하다. 실험에 사용된 DPPH는 300 mM이며, 시료는 황칠나무의 줄기와 잎 각각의 분획물을 10 ㎍/㎖, 50 ㎍/㎖, 100 ㎍/㎖, 250 ㎍/㎖, 500 ㎍/㎖ 농도로 실험하였다. 항산화 활성도를 구하기 위해서 sample solution, sample blank, control blank의 흡광도가 필요하다. sample solution은 각 종류별로 시료 2.5 ㎖를 tube에 각각 넣은 후 DPPH용액 1 ㎖를 넣고, sample blank는 각 종류별 sample stock 2.5 ㎖를 tube에 넣은 후 methanol을 1 ㎖ 넣는다. control blank는 tube에 methanol 2.5 ㎖와 DPPH 1 ㎖를 넣어 만든다. 그 후 차광하여 30분간 실온 반응 시킨 다음 UV/Vis- spectrometer를 이용해 516 ㎚에서 흡광도를 측정한다. 이때 흡광도의 기준은 methanol로 설정한다. 측정된 흡광도를 이용해 산화 저해율을 구한다. 3반복의 흡광도를 이용해 구한 산화 저해율(%)를 이용하여 IC50값을 구하였다.
Acetylcholinesterase 저해 활성 측정
Acetylcholinesterase (AChE)저해 활성 측정은 Ellman’s assay법(Ellman et al., 1960)은 UV Spectrometer으로 시행된 것으로 시약 및 시료를 microplate 수준으로 상대적으로 변형하여 실험하였다. 본 실험에서는 96 well plate를 이용했으며, 실험에서 기질로 사용한 acetylcholine iodide (ATCh)와 효소인 acetylcholinesterase from electrophorus (10 ㎍/㎖, 987 U/㎍) 및 실험에 이용한 모든 시약 5,5-dithiobis-2-nitrobenzoic acid (DTNB), sodium bicarbonate, neostigmine bromide, sodium phosphate dibasic, sodium phosphate monobasic, Di-methyl sulfoxide-d6 (DMSO-d6)는 Sigma (St. Louis, MO, USA)에서 구입하여 사용하였다. AChE은 0.1 M phosphate buffer (PB, pH 7.0)에 녹여서 사용하였으며, DTNB 용액은 0.01 M (PB, pH 7), ATCh 0.01 M (PB, pH 8.0), 반응 종결을 위한 시약 neostigmine bromide 0.01 M (PB, pH 8.0)을 사용하였다. 시료는 황칠나무의 줄기와 잎의 각각 분획 추출물을 50, 100, 250 ㎍/㎖ 농도로 DMSO-d6에 녹여 사용하였다. Enzyme solution에는 PB 130 ㎕, 시료 10 ㎕, DTNB 20 ㎕, AChE 20 ㎕를 넣은 후 섞어 주었다. Substrate solution에는 PB 150 ㎕, 시료 10 ㎕, DTNB 20 ㎕, ATCh 20 ㎕를 넣은 후 섞어 주었다. 10분 동안 반응시간을 가진 후 neostigmine bromide용액 10 ㎕를 첨가하여 반응을 종결 시켰다. ELISA reader로 415 ㎚에서 3반복으로 측정한 후 저해율(%)을 산출하였다.
결과 및 고찰
박층크로마토그래피와 발색법을 이용한 알칼로이드 성분군의 동정결과
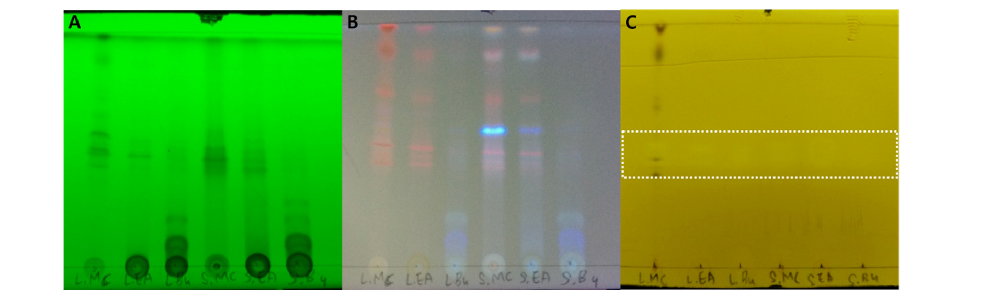
황칠나무에 함유되어 있는 성분군의 연구는 진행된 바가 없으므로, 황칠나무 잎과 줄기 분획물을 TLC에 Chloroform/ methanol (10:1)의 전개용매로 전개한 후 발색시약을 통한 색의 변화를 Rf치를 기준으로 조사한 결과를 Fig. 2와 Table 1에 나타내었다. 각 spot의 Rf치가 큰 순서부터 Table 1을 작성하였다. Table 1에서 보는 바와 같이 UV light 아래에서 약 15 spot들을 관찰 할 수 있었다. 그 중 254 ㎚ 아래에서는 Rf치가 0.82 인 spot은 확인 할 수 없었고, 366 ㎚ 아래에서는 Rf치가 0.98, 0.84, 0.65, 0.48, 0.44, 0.41 인 spot에서 붉은색을 나타냈고, Rf치가 0.82, 0.46, 0.43, 0.19 인 spot에서 노란색을 나타냈다. 366 ㎚에서 알칼로이드 발색양상으로 Rf치가 0.51, 046 인 spot에서 는 파란색을 나타내었다. Rf치가 0.51인 spot이 046인 spot보다 더 강한 발색의 강도를 보였으며, 발색시약을 통하여 알칼로이드 성분 확인을 위한 Dragendroff 발색에서도 Rf치가 0.51, 0.46인 spot에서 주홍색으로 나타났으며, Rf치가 0.51인 spot이 046인 spot보다 더 강한 발색의 강도를 보였다. TLC상에서 Dragendroff 발색으로 주홍색을 나타낸 것은 알칼로이드 성분으로 확인할 수 있으며(Wagner and Bladt, 1996), DPPH의 활성과 AChE저해 활성과 연결하여 단일 활성 성분의 동정 지표 및 구조결정에 이용할 수 있다.
Table 1. Rf values and properties of leaves fraction and stems fraction from Dendropanax morbiferus on TLC |
|
DPPH assay를 이용한 항산화 활성
황칠나무 잎과 줄기 각각의 분획 추출물의 항산화 활성 분석을 위한 DPPH assay결과는 Fig. 3에 나타냈다. 각각의 분획 추출물의 DPPH assay를 이용해 구한 산화저해율(%)에서 50%저해율인 IC50 값은 황칠나무 잎 dichloromethane 분획물 284 ㎍/㎖, ethyl acetate 분획물 30 ㎍/㎖, butanol 분획물 49 ㎍/㎖으로 측정되었다. 황칠나무줄기는 dichloromethane 분획물 264 ㎍/㎖, ethyl acetate 분획물 30 ㎍/㎖, butanol 분획물 90 ㎍/㎖으로 측정되었다. 황칠나무의 항산화 활성은 대조군으로 단일물질을 시행하지 않고, 문헌상의(Son and Ryu, 2009) 약용식물의 결과치와 비교하였다. 그 이유는 황칠나무로부터 분리된 단일물질에 의한 항산화효과가 아니라 각 부위별 추출물에 의한 황산화효과의 비교이기 때문이다. Son and Ryu (2009)에 의한 홍삼의 DPPH에 의한 전자공여능의 저해율이 1000 ㎍/㎖ 농도에서 58.07%이며, 황칠나무의 분획별 전자공여능의 50% 저해율이 30~284 ㎍/㎖으로 나타나 상대적으로 황칠나무의 분획물이 우수한 것을 확인할 수 있었다. 황칠나무의 잎과 줄기 분획물 모두 ethyl acetate, butanol, dichloromethane 순으로 활성이 높은 것을 확인할 수 있었다. 그러므로 가장 높았던 황칠나무 줄기와 잎의 ethyl acetate분획물을 이용해 알칼로이드 성분을 대상으로 항산화 활성 성분의 동정을 진행 중에 있다.

Fig. 3.
DPPH free radical scavenging action of fraction from Dendropanax morbiferus. (A), leaves dichloromethane antioxidant activity; (B), leaves ethyl acetate antioxidant activity, (C), leaves butanol antioxidant activity; (D), stems dichloromethane antioxidant activity; (E), stems ethyl acetate antioxidant activity; (F), stems butanol antioxidant activity.
Acetylcholinesterase 저해 활성 측정
Acetylcholine (ACh)은 뇌의 신경전달물질로 신경전달이 완료되면 Acetylcholinesterase (AChE)에 의해 분해되는데 Alzheimer’s 환자들은 해마부위에 ACh가 감소된다. 따라서 Alzheimer’s 환자에게 AChE 활성을 천연물 혹은 합성물질로서 저해하여 신경전달이 원활하게 하는 것이다. Acetylthiocholine은 AChE에 의해 thiocholine과 acetate로 분해되고, thiocholine이 발색 시약으로 사용되는 DTNB와 반응하여 5-tio-2-nitrobenzoate를 형성하여 노란색을 나타낸다(Ellman et al., 1960). 황칠나무 줄기와 잎의 AChE저해 활성 측정 결과는 Fig. 4에 나타내었다. 50, 100, 250 ㎍/㎖ 농도로 실험을 진행했는데 가장 높은 250 ㎍/㎖ 농도에서 황칠나무 잎 dichloromethane 분획물 57.68%, ethyl acetate 분획물 45.83%, butanol 분획물 21.12%으로 측정되었다. 황칠나무 줄기 dichloromethane 분획물 61.63%, ethyl acetate 분획물 46.38%, butanol 분획물 19.69%으로 측정되었다. 황칠나무 잎과 줄기 모두 dichloromethane, ethyl acetate, butanol 분획물 순으로 저해 활성이 높은 것으로 나타났다.

Fig. 4.
Inhibitory effect of fraction from Dendropanax morbiferus against acetylcholinesterase (AChE). (A), leaves dichloromethane inhibitory; (B), leaves ethyl acetate inhibitory; (C), leaves butanol inhibitory; (D), stems dichloromethane inhibitory; (E), stems ethyl acetate inhibitory; (F), stems butanol inhibitory.
적요
황칠나무 잎과 줄기를 분리하여 각각 methanol 추출하여, 계통분획상법에 따라 dichloromethane, ethyl acetate, butanol로 분획하였다. 분획물로 실시한 TLC에서 알칼로이드 성분으로 분리되는 성분을 확인할 수 있었다. 잎과 줄기 모두 ethyl acetate분획물은 IC50 30 ㎍/㎖으로 높게 측정 되었으며, ethyl acetate, dichloromethane, butanol분획물 순으로 저해 활성이 높게 나타났다. Acetyl cholinesterase inhibition assay를 실시한 결과 황칠나무 잎과 줄기 모두 dichloromethane, ethyl acetate, butanol 분획물 순으로 저해 활성이 높은 것으로 나타났으며, 가장 높은 활성을 보인 황칠나무 줄기와 잎의 dichloromethane 분획물의 알칼로이드 함량이 상대적으로 높은 것으로 보아 알칼로이드 성분에 의한 것으로 유추 할 수 있으므로, 알칼로이드 성분의 동정 및 성분구조의 규명을 통하여 AChE저해 활성을 이용한 신경관련 질환에 도움을 줄 수 있는 천연물의 개발이 가능할 것으로 사료된다.





