서언
재료 및 방법
재료 및 시약
백작약 물 추출물과 유기용매 분획물 조제
세포배양
세포독성 측정
전자공여능 측정
트롬빈 저해활성 측정
Reverse transcription-polymerase chain reaction (RT-PCR)
Gelatin Zymography
통계 분석
결과 및 고찰
용매별 분획물의 수득율
항산화 효과
트롬빈 저해활성
세포독성 조사
MMP-2와 MMP-9의 발현 및 활성을 통한 암전이 억제 효과
Bax와 Bcl-2의 발현을 통한 암세포 사멸 효과
적요
서언
현대인들은 환경오염, 스트레스, 운동부족 및 고령화로 인해 다양한 성인병에 노출되어 있다. 특히 종양은 한국인의 사망 원인으로 가장 큰 비율을 차지하고 있으며, 이를 극복하기 위해서는 치료와 함께 예방하는 것이 최선책이다. 현재까지 암 연구는 치료제 개발에 집중되어 왔지만, 최근 예방에 많은 관심이 증가하면서 암 예방 물질을 개발하기 위해, 부작용이 심한 기존 항암제를 대체할 수 있는 천연물의 생리활성 물질에 대한 관심이 증가되고 있다(Chen et al., 2013; Lee et al., 2015; Jang et al., 1997).
악성 종양의 원인 중 하나로 알려진 활성산소(Reactive oxygen species)는 대사과정과 면역과정 중에 생성되어 정상세포에 작용하여 암이나 노화세포로 발전시키는 것으로 알려져 있다. 이 활성산소에 수소를 제공하여 안정한 물질로 변화시키고, 자신은 안정한 라디칼 구조를 형성할 수 있는 물질이라면 우수한 항산화물질로서 암의 예방 물질로 이용될 수 있을 것이다. 이 같이 인체의 활성산소 양을 줄일 수 있는 항산화물질이 약용식물과 버섯으로부터 발표되고 있다(Hong et al., 2004; Park et al., 2017). 식물의 2차 대사 산물 중에는 다양한 약리효과를 나타내는 물질들이 알려지고 있으며, 식용 가능한 약용식물에 대한 관심이 높아지고 있다. 특히 한약제의 재료로 사용되고 있는 약용식물은 다양한 종류의 생리활성을 나타내는 천연물질을 함유하고 있는 것으로 새로운 치료제와 예방물질의 개발에 좋은 재료로 사용될 수 있을 것이다(Lee et al., 2000).
암 침윤과 전이는 암세포에서 분비되는 기질 금속단백분해효소(Matrix metalloproteinases, MMPs)들의 활성을 통해 진행된다. 대표적인 기질 금속단백분해효소로는 MMP-2 (gelatinase A)와 MMP-9 (gelatinase B)이다. 이 중 MMP-2는 pro-MMP-2인 latent 형태로 합성되며, MT1-MMP에 의해 잘려 활성화된다고 알려져 왔으나, 최근에는 thrombin, factor Xa 등에 의해서도 활성화된다는 보고도 있다(Koo et al., 2009).
백작약(P. japonica)은 작약과(Paeoniacease)의 작약속(Paeonia)에 속하는 다년생식물이며, 오랫동안 동양에서 한약재로 사용되어 왔다(Kim and Shin, 2003). 백작약의 주요한 유효성분으로서 paeoniflorin에 대한 생리활성 연구가 많이 보고 되어오고 있으나 Jeong et al. (2003)은 백작약 에틸아세테이트와 물분획물에서 gallic acid와 catechin 성분이 강한 산화적 스트레스 억제 효과를 나타냄을 보고하였으며, 백작약의 조다당분획물 처리로 대식세포의 nitric oxide (NO) 및 암세포생장 억제에 관여하는 사이토카인들의 높은 생성과 함께 마우스 림프종 세포주의 생존이 억제됨이 보고되었다(Park et al., 2003). 백작약 에탄올 추출물에 의해 파골세포의 분화와 생성이 억제되는 효과가 보고되었으며(Park et al., 2015), 항진균(Seong, 2006), 간독성보호(Ko et al., 2016)의 높은 효과도 알려져 있다. 백작약의 다양한 생리활성이 알려져 있지만 항암효과에 대한 연구는 부족한 실정이다. 따라서 본 연구에서는 극성이 큰 물을 추출용매로 백작약의 다양한 유효성분들을 추출하고자 하였으며, 또한 백작약의 물 추출물 및 유기용매 분획물에서 항산화, 트롬빈억제 효과와 종양형성과 종양전이 능력이 우수하다고 이미 밝혀진 인간구강암세포주를 사용하여 암세포 사멸 및 암전이 억제 효과를 조사하였다.
재료 및 방법
재료 및 시약
본 실험에 사용한 백작약(P. japonica)은 경북 영천에서 생산한 것을 제천약초시장에서 구입하여 사용하였다. 생리활성 측정에 1,1-diphenyl-2-picrylhydrazyl (DPPH) (Sigma-Aldrich, St. Louis, MO, USA), Thrombin (Sigma-Aldrich), Fibrinogen (Sigma-Aldrich), H-D-phenyl-alanine-L-pipecolyl-L-arginine-paranitroaniline dihydrochloride (Chromogenix S-2238; Chromogenix, Orangeburg, NY, USA)을 사용하였고 나머지 시약도 모두 일등급을 사용하였다.
백작약 물 추출물과 유기용매 분획물 조제
백작약의 일정량에 20배의 증류수를 가하고 환류, 냉각시키면서 3시간 동안 가열 추출 후 aspirator를 이용하여 감압여과(Whatman, No. 1)하고 동결 건조한 다음 물 추출물 시료로 사용하였다. 유기용매 분획물은 위의 Whatman No.1 여과지로 여과하여 얻은 여과액을 같은 부피의 헥산(hexane), 클로로포름(CHCl3), 에틸아세테이트(ethyl acetate), 부탄올(butanol)로 3번씩 추출 후 각각의 추출물을 농축시키고, 마지막에 남은 물 층을 동결 건조하여 물 분획물을 얻었다. 실험에 사용한 물 추출물과 분획별 시료는 50% Dimethyl sulfoxide (DMSO) (Sigma-Aldrich)와 증류수에 10 ㎎/㎖로 준비하였다.
세포배양
YD-10B 세포, human oral squamous carcinoma cells는 한국세포주은행(Korea Cell Line Bank [KCLB], Seoul, Korea)에서 분양 받아 사용하였다. 세포는 RPMI-1640 (Gibco-BRL, Life technologies Inc., Grand Island, New York, USA)배지에 10% fetal bovine serum (Gibco-BRL), 1% penicillin/streptomycin (Gibco-BRL)을 첨가하여 37℃, 5% CO2 조건의 배양기에서 계대배양 하였다.
세포독성 측정
백작약 추출물에 따른 세포독성을 조사하기 위해 Cell Counting Kit-8 (CCK-8; Dojindo Laboratories, Kumamoto, Japan)을 이용하여 측정하였다. YD-10B 세포를 96-well plate에 well (200 ㎕)당 2 × 104개의 수로 seeding하고 12시간 동안 배양한 후, 추출물 농도를 0, 30, 60, 120, 및 240 ㎍/㎖이 되도록 처리하였다. 그리고 추가적으로 37℃ 배양기에서 24시간 그리고 48시간 동안 반응시킨 후, CCK-8 용액을 세포배양액에 10 ㎕/well을 첨가하고 1시간 동안 37℃ 배양기에서 반응하였다. 반응 후, microplate reader (Molecular Devices, Sunnydale, CA, USA)를 이용하여 450 ㎚에서 흡광도를 측정하였다.
전자공여능 측정
lois (1958) 및 Kim et al. (1997)의 방법에 따라 준비한 백작약 물 추출물이나 유기용매 분획물 적정 희석액 0.4 ㎖를 시험관에 넣고, 1 × 10–4 M의 1,1-diphenyl-2-picrylhydrazyl (DPPH)-ethanol 용액 5.6 ㎖을 가하여 6 ㎖이 되도록 하였다. 이 혼합액을 4분간 반응시키고 다시 여과한 다음, 총 반응시간이 10분이 되면 525 ㎚에서 흡광도를 측정하였다(UV-1201; Shimadzu). 전자공여능은 다음 식에 의해 산출하였다.
전자공여능={1 – (Optical Density (O.D.)시료 / O.D.증류수)} × 100
트롬빈 저해활성 측정
트롬빈 저해 활성은 Doljak et al. (2001)의 방법을 이용하여 측정하였다. 10 mM HEPES (Sigma-Aldrich, St. Louis, MO, USA), 150 mM NaCl, 0.1% bovine serum albumin을 포함하는 HBSA (Hank’s Hepes buffer containing BSA) 완충용액 (pH 7.5) 40 ㎕에 트롬빈 용액(0.5 NIH units/㎖) 50 ㎕를 첨가한 후 혼합하였다. 준비한 백작약 물 추출물이나 유기용매 분획물(10 ㎎/㎖) 10 ㎕를 첨가하고 실온에서 15 분간 incubation 후, H-D-phenylalanine-L-pipecolyl-L-arginine-paranitro aniline dihydrochloride를 이용하여 준비한 기질 용액(0.5 mM) 50 ㎕을 가하고 5분 동안 incubation시킨 후 405 ㎚에서 흡광도 변화를 측정하였다(UV-1601PC; Shimadzu, Kyoto, Japan). 트롬빈 활성 저해율은 다음 식에 의해 산출하였으며, 사용한 흡광도는 대조구의 흡광도를 제외한 수치를 이용하였다.
저해율(%) = [1 – (시료 첨가구의 흡광도) / (시료 무첨가구의 흡광도)] × 100
Reverse transcription-polymerase chain reaction (RT-PCR)
세포로부터 TRIzol 시약(Invitrogen Co., Carlsbad, CA, USA)을 사용하여 총 RNA를 추출하였다. 1 ㎍의 RNA를 가지고 ReverTra ACE PCR RT Master Mix Kit (TOYOBO Co., Osaka, Japan) 을 이용하여 PCR를 수행하였다. 본 실험에서는 Bcl-2, Bax 및 Glyceraldehyde-3-phosphate dehydrogenase (GAPDH) primers (Table 1)을 사용하였고, Housekeeping 유전자인 GAPDH 유전자를 internal control로 사용하였다. 증폭된 PCR 생성물은 ethidium bromide가 포함된 1.5% agarose gel에 전기영동 하여 UV light상에서 확인하였다.
Gelatin Zymography
40 ㎍/㎖ 농도의 백작약 추출물 및 분획물과 2.5 Unit 농도의 Thrombin을 단독 또는 동시에 처리된 혈청 없는 배지에서 YD-10B (5 × 105) 세포를 24시간 동안 배양한 후, 배지를 모아 Centriprep YM-10 (Millipore, Billerica, MA, USA)을 사용하여 농축하였다. 20 ㎍ 농도의 농축된 단백질은 non-reducing sample buffer (0.5 M Tris-Cl pH 6.8, 5% SDS, 20% glycerol, 1% bromphenol blue)와 함께 혼합하여 0.1% gelatin이 포함된10% sodium dodecyl sulphate-polyacrylamide gel electrophoresis (SDS-PAGE)에서 전기영동 하였다. 전기영동 후, washing buffer (50 mM Tris-Cl, pH 7.5, 10 mM CaCl2, 2.5% Triton X-100, 1.0 uM ZnCl2)로 SDS을 제거하고 incubation buffer (50 mM Tris-Cl, pH 7.5, 10 mM CaCl2, 150 mM NaCl, 0.02% NaN3)로 37℃에서 18시간 동안 반응하였다. Gel은 Coomassie Brilliant Blue (7% glacial acetic acid, 40% methanol, 0.25% coomassie blue)로 1시간 동안 염색한 후, destaining solution (7% glacial acetic acid, 40% methanol)으로 탈색하여 white band을 확인하였다.
통계 분석
항산화 및 트롬빈억제 효과 분석은 Instat TM statistical software (GraphPad Software, Inc., San Diego, CA)를 사용하여 분산분석(ANOVA)를 실시하였다. 세포독성효과, RT-PCR 그리고 gelatinase 활성 분석은 Student’s t-test를 실시하였다. 실험결과는 3회 반복 실험을 통하여 mean ± SD로 나타내었으며, 각 실험군 간의 통계학적 분석은 유의한 결과를 얻었다(p <0.05).
결과 및 고찰
용매별 분획물의 수득율
백작약 300 g을 열수추출 후 여과한 용액을 동결 건조한 결과 52.74 g의 물 추출물을 얻었다. 또한 이 여과한 용액을 다양한 종류의 유기용매를 이용하여 추출한 분획물의 수득율을 측정하였다. 그 결과 헥산 분획물이 0.02%, 클로로포름 분획물 0.14%, 에틸아세테이트 분획물 1.15%, 부탄올 분획물 4.00%, 물 분획물 11.44%로 물 분획물의 수득율이 가장 높았다(Fig. 1).
항산화 효과
항산화 활성을 알아보기 위하여 DPPH radical 소거능력을 이용하여 백작약 물 추출물과 유기용매 분획물의 활성산소 제거능력을 측정하였다. 백작약 물 추출물 및 유기용매 분획물들의 시료 농도는 0.66 ㎎/㎖로, 헥산, 클로로포름, 물 분획물 및 물 추출물에서 6.12%, 12.23%, 13.67% 및 18.63%로 낮은 항산화 활성을 보였으며, 부탄올 분획물이 40.01%의 항산화 활성을 나타내었고, 에틸아세테이트 분획물이 85.13%의 가장 높은 활성을 나타냈다(Fig. 2). 이는 100 ㎍/㎖ 농도의 백작약 에틸아세테이트 분획물에서 92% 이상의 DPPH라디컬 소거활성을 나타내는 것으로 이미 보고된 Jeong et al. (2003)의 연구 결과를 뒷받침하고 있다.
트롬빈 저해활성
트롬빈(thrombin)은 혈액응고과정에서 가장 중요한 필수효소이다. 이 트롬빈의 작용에 의해 fibrinogen이 fibrin으로 전환되어 혈전이 형성된다. 혈관계 질환의 주 원인 중 하나로 알려진 혈전의 형성을 억제하기 위해 부작용이 적은 약용식물로부터 트롬빈저해제를 개발하기 위한 연구들이 진행되고 있다(Kim et al., 2001; Freedman et al., 2005). 본 연구에서는 백작약 물 추출물과 유기용매 분획물들의 thrombin 저해 활성을 측정하여 혈관계 질환의 예방 물질로 사용 가능한지 조사하였다. 그 결과 에틸아세테이트 분획물이 87.54%의 가장 높은 저해활성을 나타냈으며, 부탄올 분획물은 80.58%의 트롬빈 저해활성을 나타냈다(Fig. 3). 이는 Kim et al. (2008)의 에틸아세테이트 분획물과 부탄올 분획물에서 항트롬빈 효과가 높은 것으로 보고된 결과와 유사함을 보였다.
세포독성 조사
YD-10B 세포에서 백작약 물 추출물과 유기용매 분획물을 0, 30, 60, 120 및 240 ㎍/㎖의 다양한 농도로 함께 처리하여 24, 48시간 동안 배양한 후 세포의 생존율을 조사하였다. 30 그리고 60 ㎍/㎖ 농도로 48시간 동안 처리한 후 대조군과 비교한 결과, 물 추출물에서는 96.78% 그리고 88.44%, 핵산 분획물은 81.59% 그리고 76.84%, 클로로포름 분획물은 84.71% 그리고 70.82%, 에틸아세테이트 분획물은 80.84% 그리고 53.90%, 부탄올 분획물은 86.27% 그리고 75.26% 그리고 물 분획물은 96.84% 그리고 95.24%의 생존율을 보였다. 이와 같은 결과를 통해 백작약 추출물 및 모든 분획물은 60 ㎍/㎖의 농도까지는 에틸아세테이트 분획물을 제외하고는 거의 독성을 나타내지 않음을 알 수 있었다. 또한 120 ㎍/㎖ 고농도로 48시간동안 처리한 결과에서는, 물 추출물 64.92%, 핵산 분획물 62.24%, 클로로포름 분획물 55.03%, 에틸아세테이트 분획물 38.23%, 부탄올 분획물 56.64% 그리고 물 분획물 80.73%의 생존율을 보여 물 분획물을 제외하고는 대부분 추출 분획물들에서 구강암세포 증식억제활성을 나타냈다(Fig. 4).

Fig. 4.
In vitro cytotoxicity effects of water extract and solvent fractions obtained from a P. japonica in YD-10B cells. YD-10B cells were treated with solvent fractions obtained from P. japonica at different concentrations for 24h and 48 h. Data represent the mean ± S.D. of three independent experiments (*p < 0.05, **p < 0.01, ***p < 0.001). WE: Water extract. Fr.Hx: Hexane fraction. Fr.CF: Chloroform fraction. EA: Ethyl acetate fraction. Fr.B: Butanol fraction. Fr.H2O: H2O fraction.
MMP-2와 MMP-9의 발현 및 활성을 통한 암전이 억제 효과
본 연구에서는 백작약 추출물 및 분획물들의 YD-10B 인간구강암세포에서 암 침윤 및 MMPs 활성 증가에 미치는 효과를 조사하였다. 이를 위하여 40 ㎍/㎖ 농도의 백작약 추출물 및 분획물과 2.5 unit 농도의 thrombin을 단독 또는 동시에 처리하여 YD-10B세포를 혈청 없는 배지에서 배양하였다. 그리고 24시간동안 배양한 후, 배지의 상층액은 gelatin zymography법을 통해 MMP-2/pro-MMP-2 및 MMP-9 단백질의 활성을 분석하였다. 그 결과는 Fig. 5에서 나타난 것처럼 thrombin를 단독 처리한 세포에서는 아무것도 처리하지 않은 세포에 비해 MMP-9의 변화는 없었지만 MMP-2/pro-MMP-2 단백질 활성이 뚜렷하게 증가하였다. 그리고 thrombin과 백작약 추출물 및 분획물을 동시 처리한 세포에서는 에틸아세테이트 분획물이 thrombin에 의해 유도된 MMP-2/pro-MMP-2 단백질 활성이 가장 뚜렷하게 억제하였다.

Fig. 5.
MMP-2/9 activity of water extract and solvent fractions obtained from a P. japonica in thrombin-treated YD-10B cells. YD-10B cells were treated with the indicated concentration (40 ㎍/㎖) of solvent fractions obtained from a P. japonica 2 h prior to thrombin (2.5 uM) stimulation. 24 h later, activities of MMP-2/9 protein in the conditioned media were determined by gelatin zymography. The relative invasion activity of MMP-2/9 protein were analyzed the band intensity using a GelQuant.NET program (*p < 0.05, **p < 0.01). WE: Water extract. Fr.Hx: Hexane fraction. Fr.CF: Chloroform fraction. EA: Ethyl acetate fraction. Fr.B: Butanol fraction. Fr.H2O: H2O fraction.
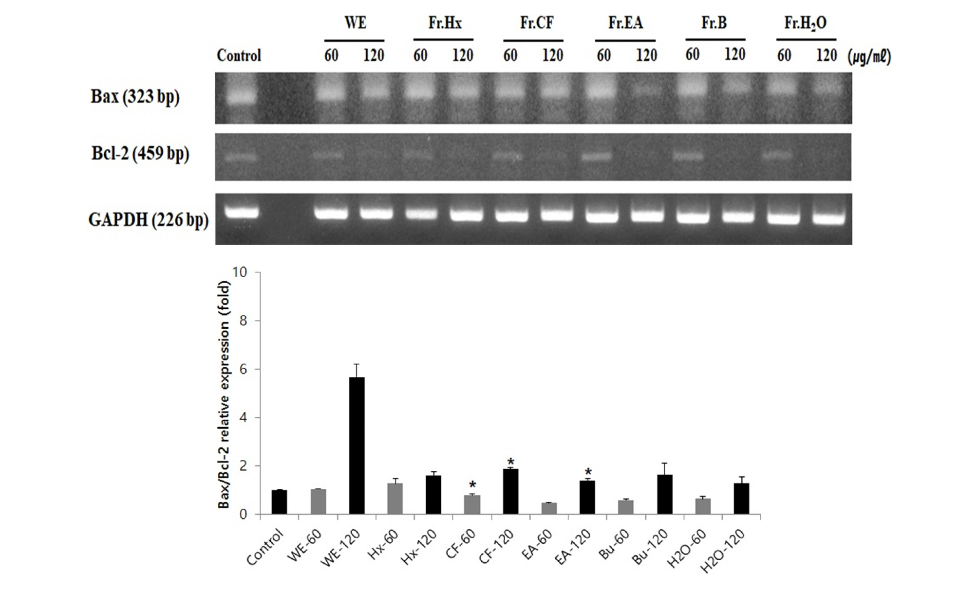
Bax와 Bcl-2의 발현을 통한 암세포 사멸 효과
Apoptosis에 대한 회피는 암의 가장 큰 특징이다. 세포사멸은 프로그램화된 세포죽음의 한 형태로, 정상적으로 개체의 발생과 기능을 조절하는데 관여하며, 이 과정의 조절이상은 암을 비롯한 다양한 질환을 일으킨다. 세포사멸을 조절하는 몇 가지 단백질들 중에서 가장 대표적인 유전자로 pro-apoptotic한 세포사멸을 유도하는 Bax와 세포사멸을 억제하는 anti-apoptotic한 기능을 나타내는 Bcl-2가 가장 대표적인 유전자들이다(Zang et al., 2000; Mohan S et al., 2012; Yip and Reed, 2008). 그러므로 본 연구에서는 YD-10B세포에서 백작약 추출물 및 분획물들에 의한 Bax와 Bcl-2 유전자들의 발현을 조사하고 Bax/Bcl-2 ratio를 통해 구강암세포 사멸 효과를 조사하였다. 그 결과, 120 ㎍/㎖ 농도로 48시간 처리했을 때 물 추출물이 대조군에 비해 5배 이상 가장 높은 세포사멸 효과를 보였다(Fig. 6).

Fig. 6.
Bax/Bcl-2 relative expression of water extract and solvent fractions obtained from a P. japonica in YD-10B cells. YD-10B cells were treated with the indicated concentration (60, 120 ㎍/ml) of solvent fractions obtained from a P. japonica for 48h. The levels of Bax and Bcl-2 mRNA expressions were determined by RT-PCR. GAPDH were used as the internal control. The relative expressions of Bax/Bcl-2 mRNA were analyzed the band intensity using a GelQuant.NET program (*p < 0.05). WE: Water extract. Fr.Hx: Hexane fraction. Fr.CF: Chloroform fraction. EA: Ethyl acetate fraction. Fr.B: Butanol fraction. Fr.H2O: H2O fraction.
적요
백작약 물 추출물과 유기용매 분획물들의 항산화 활성, 트롬빈 억제 및 구강암세포주에서의 암전이 억제 및 암세포 사멸능을 확인하였다. 에틸아세테이트 분획물이 85.13%의 높은 항산화 활성과 87.54%의 높은 트롬빈저해 효과를 나타냈으며, 또한 구강암세포주에서도 트롬빈 처리에 의해 활성화된 MMP-2/pro-MMP-2이 높은 암전이 억제 활성을 나타냈다. 그리고 구강암세포주에 대한 세포사멸 효과는 물 추출물이 5배 이상의 높은 능력을 보였다. 이와 같은 연구 결과를 바탕으로 백작약 에틸아세테이트 분획물은 새로운 항산화제, 트롬빈억제제 및 암전이억제제의 개발을 위한 우수한 천연물 소재 후보 물질로서의 가능성을 제시하고 있다.






